UltraPlasma™ Seborrheic Keratosis Treatment
withOut! Drugs, Industrial Chemicals, Medicines, Surgery, Supplements, and Lasers. | ! not to be confused with seborrheic dermatitis or actinic keratosis
TREATMENTS
MedicaLabs, Germany | https://medicalabs.de
10/24/20242 min read


Advanced Treatment of Seborrheic Keratosis Using UltraPlasma™ Multi-Platform Plasma Technology
1. Introduction
Seborrheic Keratosis (SK) is a common benign epidermal tumor that frequently affects older adults. Despite being harmless, its aesthetic concerns and potential for irritation prompt many to seek removal. Traditional treatments include cryotherapy, curettage, or ablative lasers, but these often cause discomfort, downtime, or scarring.
The UltraPlasma™ system introduces a groundbreaking approach by combining arc plasma, argon plasma, and helium plasma technologies—engineered with advanced modulation software and multi-platform gas emission hardware. This allows personalized, non-invasive, and tissue-specific interaction using controlled plasma exposure.


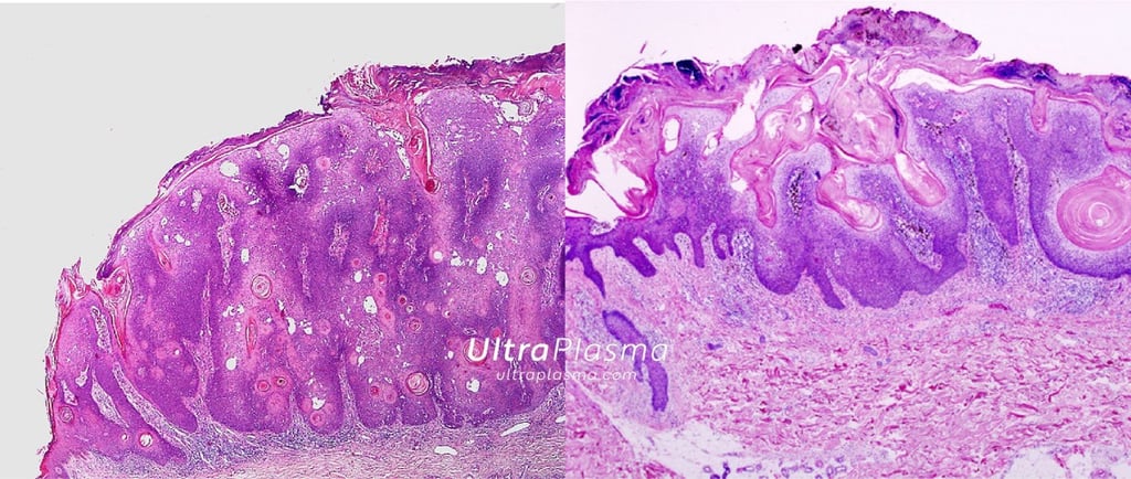
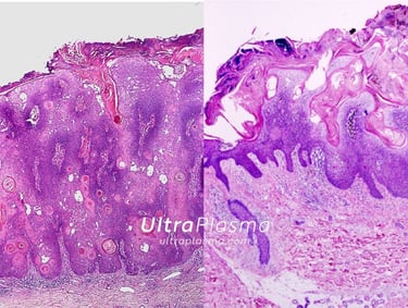
2. Understanding Seborrheic Keratosis
Seborrheic Keratosis lesions originate in the epidermis, typically as waxy, stuck-on, pigmented plaques. Histologically, they show hyperkeratosis, acanthosis, and horn cysts. Though confined to the epidermis, effective treatment must delicately interact with adjacent dermal microcirculation without damaging underlying hypodermal structures.


3. UltraPlasma™: Multi-Plasma Engineering
UltraPlasma™ is a fusion system integrating:
UltraPlasma™ Arc Plasma Mode(White-Blue): High-energy discharge initiating keratolysis and coagulative ablation.
UltraPlasma™ Argon Plasma Mode (Blue-Purple): Cold plasma flow for lateral lesion demarcation and surface smoothing.
UltraPlasma™ Helium Plasma Mode (Purple-Violet): Deep skin bio-interaction with lower thermal load for vascular normalization and scar prevention.
Each plasma type is selectively activated through a digital waveform generator and gas-mix modulation interface, allowing precise penetration and biocompatible energy transfer.
4. UltraPlasma™ Interactions with Skin Layers
5. UltraPlasma™ Gas and Reactive Species Emission
UltraPlasma™ generates:
Ozone (O₃): Keratolytic and antimicrobial
Nitric Oxide (NO): Vasodilatory, immunomodulatory
Reactive Oxygen Species (ROS): Oxidative keratinocyte lysis
Reactive Nitrogen Species (RNS): Cytokine modulation
The synergy between gas input (argon, helium, ambient air) and energy level defines the therapeutic plasma cocktail for optimal results.




6. Clinical Protocol
7. UltraPlasma™ Advantages Over Traditional Methods
⌘Conclusion⌘
UltraPlasma™ stands at the frontier of non-invasive dermatological innovation, delivering focused plasma effects with minimal discomfort and rapid recovery. For Seborrheic Keratosis, it not only ensures effective lesion removal but also supports vascular and immunological modulation, thereby enhancing healing and aesthetic outcomes.
This multi-platform system exemplifies the harmony of engineering precision and biological intelligence.






Shortcut for our Goals!
▼


© 2025. All rights reserved.
MedicaLabs Deutschland
medicalabs.de


worldwide ultraplasma.com
countries locally - coming soon:
ultraplasma.de | ultraplasma.us | ultraplasma.cn | ultraplasma.uk | ultraplasma.it | ultraplasma.fr | ultraplasma.tr | ultraplasma.co.il | ultraplasma.az | ultraplasma.ru | ultraplasma.kr | ultraplasma.es | ultraplasma.in | ultraplasma.gr | ultraplasma.cz | ultraplasma.se | ultraplasma.cl | ultraplasma.rs | ultraplasma.sg | ultraplasma.qa | ultraplasma.nl | ultraplasma.dk | ultraplasma.ro | ultraplasma.fi | ultraplasma.co.za | ultraplasma.pt | ultraplasma.al | ultraplasma.pk | ultraplasma.si | ultraplasma.ch | ultraplasma.at | ultraplasma.lt | ultraplasma.nz | ultraplasma.ae | ultraplasma.hu | ultraplasma.pl | ultraplasma.be | ultraplasma.am | ultraplasma.ar | ultraplasma.uz |
